Accessibility Tools

Перейти к содержимому
Комфортная
и доступная
стоматология

Бочкарёва Софья Константиновна

стоматолог терапевт-ортопед

Стаж работы 10 лет.

Меня зовут Бочкарёва Софья Константиновна, я врач ортопед-терапевт клиники Apple Stom.
Мой путь в профессию был предопределен за долго до поступления в медицинский университет, потому как вся моя семья - это врачи- стоматологи. Атмосфера любви и преданности медицине сформировала мое стремление продолжить династию стоматологов.
Особую страсть я испытываю к эстетической стоматологии, для меня работа с улыбкой - это не просто лечение, но и настоящее искусство, требующее кропотливого творческого подхода. Каждая реставрация зуба - это возможность проявить свои художественные способности и мастерство, тщательно подбирая цвет, форму и текстуру, чтобы добиться максимальной гармонии с естественными зубами пациента.
Работа с восстановлением зубов с помощью коронок, полукоронок, виниров - занимает особое место в моей практике! К каждой ортопедической работе я отношусь с особым трепетом и когда на выходе, вижу счастливую улыбку, эстетически красивую и функционально правильно воспроизведенную, - для меня это большая радость!
Улыбка - это не просто функциональная часть лица, но и важный элемент самовыражения и уверенности, а мое ремесло помогает пациентам не только улучшать своё здоровье, но и менять их жизнь к лучшему!
Именно поэтому я так люблю свою профессию и с гордостью продолжаю семейную традицию. Каждый день - это новый вызов, новая возможность сделать мир немного красивее.

Высшее образование
  • Диплом специалиста «врач-стоматолог» Курский государственный медицинский университет 2017 г.
  • Свидетельство об аккредитации специалиста 2017 г.
  • Диплом об окончании клинической ординатуры по специальности «Стоматология общей практики» 2019 г.
  • Диплом о профессиональной переподготовке «Врач-стоматолог-ортопед» 2019г.
  • Диплом о профессиональной переподготовке «Врач-организатор здравоохранения и общественного здоровья» 2019г.
  • Диплом о профессиональной переподготовке «Стоматология терапевтическая» 2019г.
  • Сертификат по специальности «Стоматология терапевтическая» 2019 г.
  • Сертификат по специальности «Стоматология ортопедическая» 2019 г.
  • Сертификат по специальности «Стоматология общей практики» 2019 г.
  • Сертификат по специальности: «Организация здравоохранения и общественное здоровье» 2019 г.
  • Удостоверение о повышении квалификации «Скрининг-диагностика предраковых заболеваний и рака слизистой оболочки полости рта. Принципы их организации» 2019г.
  • Удостоверение о повышении квалификации: «Современные методы профилактики и малоинвазивного лечения кариеса зубов в детском возрасте»2021 г.
  • Удостоверение о повышении квалификации «Актуальные вопросы коронавирусной инфекции COVID-19» – 2021г.
  • Удостоверение о повышении квалификации «Экспертиза временной нетрудоспособности в медицинских организациях» – 2021г.
  • Удостоверение о повышении квалификации «Профилактика неинфекционных заболеваний и формирование здорового образа жизни» – 2021г.
  • Удостоверение о повышении квалификации «Стоматология ортопедическая» 2024 г.
  • Удостоверение о повышении квалификации «Актуальные вопросы организации здравоохранения и общественного здоровья» 2024 г
  • Удостоверение о повышении квалификации «Профилактика стоматологических заболеваний» 2024г.
  • Удостоверение о повышении квалификации «Рентгендиагностика зубов и челюстей» 2024г.
Доп. профессиональное образование
    • «Реставрация фронтальных зубов» практический курс В.Щербакова - 2024г.
    • ProВиниры 9.0: Тотальное протезирование. Теоритический и практический курс В.Прокоповича – 2024г.
    • Сертификат Ho To Dent conf: Новые люди – 2024 г.
    • Сертификат «Осознанное протезирование на имплантах» - курс А.Земана – 2024г.
    • Сертификат «Ортопедия от А до Я» - практический курс О.Саркисова – 2023 г.
    • Сертификат «Адгезивные керамические реставрации: виниры,коронки,накладки» - практический курс А.Першина – 2023 г.
    • Сертификат «Сложные случаи в эндодонтии» - конгресс-мастер – класс М.Соломонов, И.Мер, А. Болячин, Е.Липатова – 2023 г.
    • Сертификат: «Restoration of anterior teeth in natural shades» - В.Щербаков 2022г.
    • Микроинвазивные методики в лечении дисколоритов зубов. Курс Однолетковой И.И. – 2021г.
    • Эндодонтическое перелечивание корневых каналов. Методика безопасного извлечения фрагментов эндодонтических инструментов из корневых каналов. Курс О. Земляковой – 2021г.
    • Сертификат OHI-S «Вкладки, виниры, лкшв и препарирование» - курс Н.Брагаревой – 2020г.
    • Сертификат обучения OHI-S c эндодонтического конгресса – Claudio Pisacane, Bertrand Khayat, Antonis Chaniotis, Илья Мер – 2019г.
    • Сертификат по прохождению курса усовершенствования и мастер-класса «Эндодонтия под микроскопом – современный подход к лечению корневых каналов» - А.И. Мощиль 2019 г.
    • Сертификат «Междисциплинарный подход от эндодонтии до реставрации» - А.Зорян, А.Кубус – 2018г.
    • Свидетельство мастер-класс «Секреты идеальной реставрации» - 2017г.
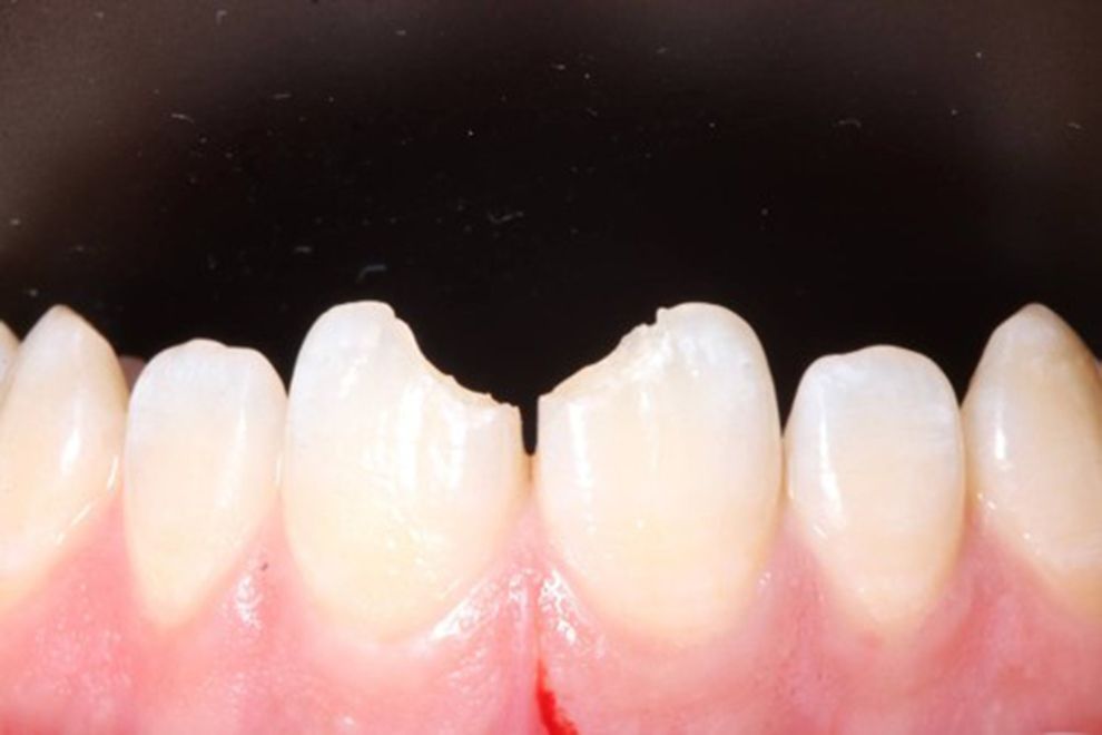
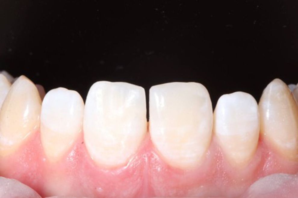
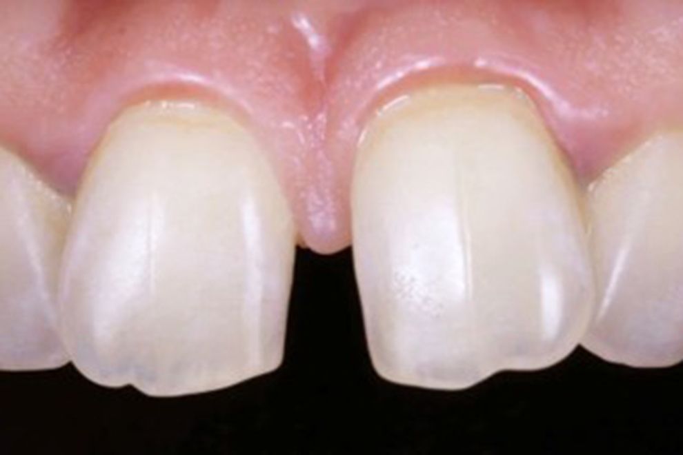
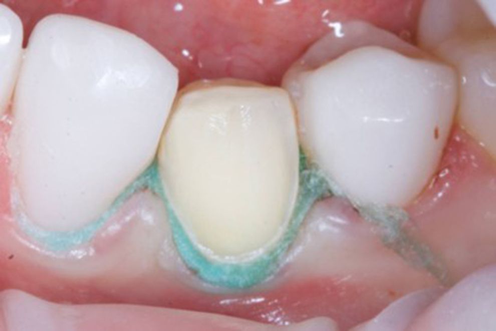
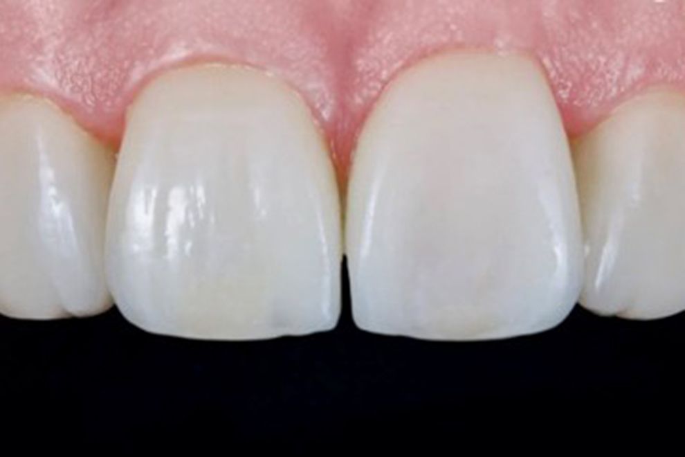
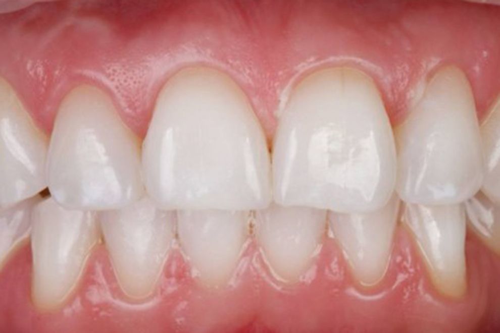
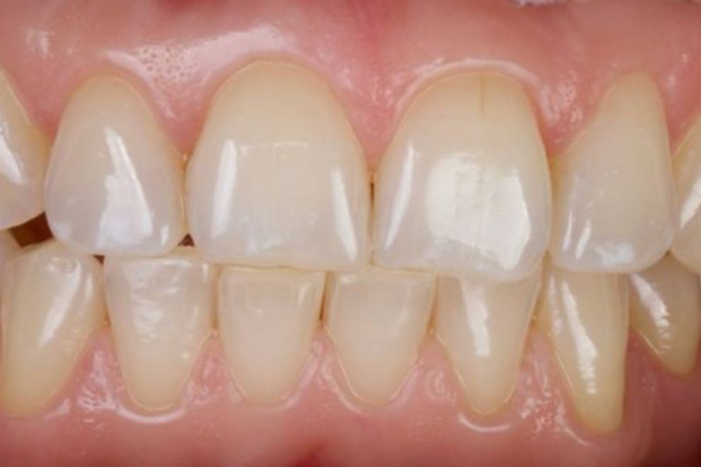
примеры "до и после"
отзывы пациентов
Анна
источник: Doctu.ru
Я безумно сильно боюсь стоматологов. В данной клинике я делала сложную операцию по удалению зуба мудрости, который рос в десне и повредил рядом растущий зуб. Операцию проводила Кушнарева А.А. Замечательный доктор! Рекомендую. После операции доктор была со мной на связи и постоянно интересовалась моим состоянием. Потом было лечение сложного зуба у Коробейникова Д.В. - проделал все манипуляции без капли боли, хотя я дрожала, как осиновый лист. Даже мою любимую музыку включил)) Отдельное спасибо Артаку Ваагновичу - главному врачу клиники. Милейший Человек и отличный профессионал. Сейчас была у Макарова М.В. - отлично 👍🏼
Алина
источник: Яндекс Карты
Отличная стоматология. Хорошие и профессиональные доктора. Рекомендую!
Марина
источник: Яндекс Карты
Я очень рада, что попала в стоматологию Apple-Storm! Это действительно клиника, где сочетаются профессионализм, современное оборудование и заботливое отношение к пациентам. Уютный интерьер, доброжелательный персонал и конечно же прекрасная музыка помогают чувствовать себя расслабленно даже тем, кто боится стоматологов. Особенно хочу поблагодарить Ульянникова Эмиля Валиевича и Коробейникова Дениса Владимировича, а также их асссистентов, которые проводят лечение на высоком уровне! Однозначно рекомендую!
Евгения
источник: Яндекс Карты
Денис Владимирович - лучший врач! Лечу зубы только у ничего, очень внимательный врач и приятный человек. Также понравилась детский ортодонт - находила подход и все объясняла довольно вздорному подростку.
Татьяна
источник: Яндекс Карты
Любимая клиника! Максимально клиентоориентированы все! Очень классные, добрые и вежливые администраторы. Всегда помогут, подскажут. Врачи отдаются процессу полностью. За три года лечения в этой клинике, сталкивалась с тем, что врачи были готовы остаться после работы и помочь. Крутая аппаратура. Новейшие техники лечений. Возможно, чуть дороже, чем средний ценник по району.
    Хотите задать вопрос доктору?

    Если Вы хотели узнать что-то про Вашу ситуацию, пожалуйста, опишите ее, я постараюсь ответить.

    Денис Владимирович Коробейников
    стоматолог-ортопед
    Напишите нам!
    Ответим на все вопросы
    и запишем на консультацию.