
Екатерина Юрьевна Мороз
ортодонт, гнатолог
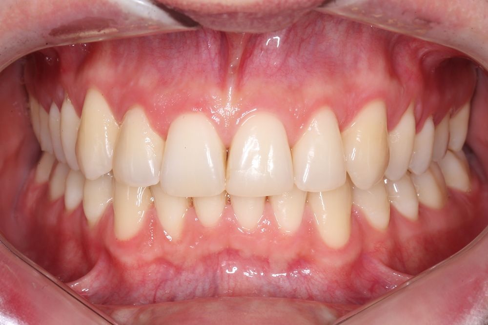
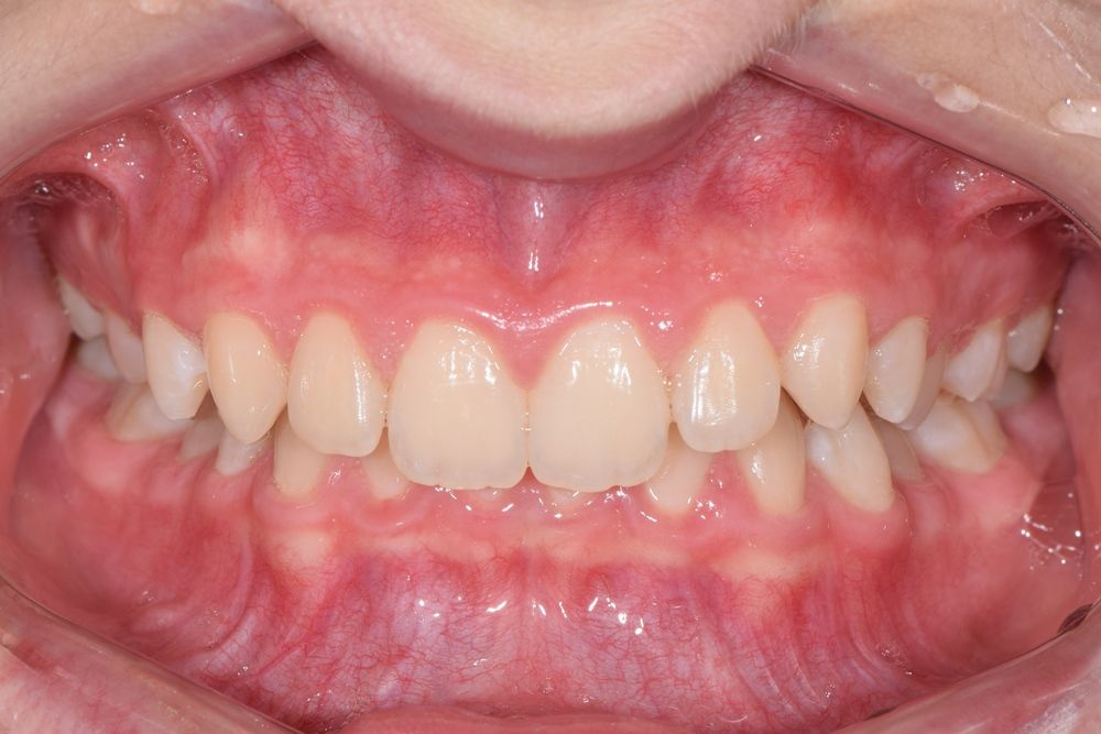
Меня зовут Мороз Екатерина Юрьевна, я практикующий врач ортодонт-гнатолог. Моя цель помочь детям создать условия для правильного роста и развития зубочелюстной системы, помогаю избавиться от вредных привычек, влияющих на развитие прикуса, и сформировать полезные навыки по уходу за полостью рта. Взрослым пациентам восстанавливаю функцию и эстетику зубов. Решаю сложные случаи связанные с проблемами височно-нижнечелюстного сустава и заболевания пародонта.Я буду вашим семейным доктором
-
Окончила с отличием Московский Государственный Медико-Стоматологический университет им. А. И. Евдокимова в 2016 (номер: 117705 0838519)
-
Ординатура на базе Московского Государственного Медико-Стоматологического Университета, кафедра Л.С.Персина «Ортодонтии и детского протезирования» в 2018 г (номер 107718 235819)
-
Удостоверение о повышение квалификации (77103569254) дата выдачи 12.01.2024
-
Выпускница Венской школы VIESID (BASIS CURRICULUM) в 2023 г специализация гнатолог
Ученица Венской школы VIESID (ORTHODONTIC CONTINUUM) на ортодонтическом модуле с 2023 по настоящее время
-
Участник XXXIX итоговой научной конференции общества молодых
-
ученых МГМСУ им. А. И. Евдокимова на тему “Стоматология детская и ортодонтия”
-
Участник VI конференции ортодонтов от компании Ormco
-
Участник XVIII съезда профессионального общества ортодонтов
Прошла цикл обучающих семинаров на базе фирмы “КАССИС” на тему “Основы ортодонтической биомеханики” у к.м.н. Марахтанова Н. Б. -
Участие в типодонт-курсе “Кортикальная опора в современной
-
ортодонтической практике” у доктора Волковой А. В.
Участник семинара “Рациональное и эффективное планирование ортодонтического лечения окклюзии II и III класса, подбор необходимой аппаратуры” у доктора медицинских наук Троя Кристенсена. -
Участник семинара “Инновационные методики лечение сложных случаев” у доктора Криса Чанга.
-
Участник семинара “Современная клиническая ортодонтия при помощи микро-имплантатов как опоры на основе технологии Твида” лектора Корейского Исследовательского института доктора Санг Дже Хён.
-
Участник семинара “Брекет-система Damon - первые шаги к успешному лечению. Диагностика, планирование, выбор прописи, позиционирование” у доктора Тихонова С. В.
-
Участник семинара “Свойства и применение ортодонтических дуг в различных клинических ситуациях” у доктора Тихонова С.В.
Мастер класс у доктора А.А Трезубова -
Участник мероприятия ТОП-2 у А.С.Ермако
-
Участник семинара “Диагностика в ортодонтической практике” на базе Всероссийского центра диагностики “ПИКАССО”.
-
Участник семинара “3D-цефолометрия - основа ортодонтического диагноза” на базе Всероссийского центра диагностики ”ПИКАССО”.
-
Участник семинара «Эvolution. 8 ключей ортодонтического лечения»
-
Участник офис-курса «Комплексное ведение пациентов с мышечно-суставной дисфункцией.Лабораторный и клинический этап» Блум Станислав
-
Участник семинара «Применение элайнеров для подготовки к протезированию» Блум Станислав
-
Участник семинара «Всео высокодейственной системе минивинтов Борей» на базе компании Ortholight
-
Участник курса «Работа с КЛКТ в Ежедневной практике врача ортодонта» у доктора А.Плаксин
-
Участник модульного курса «Ортогнатодонтии» А.С Невдах
-
Участник офис-курса «Ортодонтическая диагностика» А.С.Невдах
-
Участник курса «Моделирование элайнеров» у Е.Рощин




































