Accessibility Tools

Перейти к содержимому
Комфортная
и доступная
стоматология

Карамирзаев Вакиль

стоматолог - терапевт

Стаж более 8  лет
Основные обязанности и достижения:

Ведение полного терапевтического приёма по современным протоколам

Проведение первичных консультаций с фотопротоколом и составлением комплексного плана
лечения

Работа с увеличением: бинокуляры, дентальный микроскоп

Работа с коффердамом

Эндодонтия любой степени сложности

Машинная и ручная обработка NiTi-инструментами- Обтурация корневых каналов методом вертикальной компакции

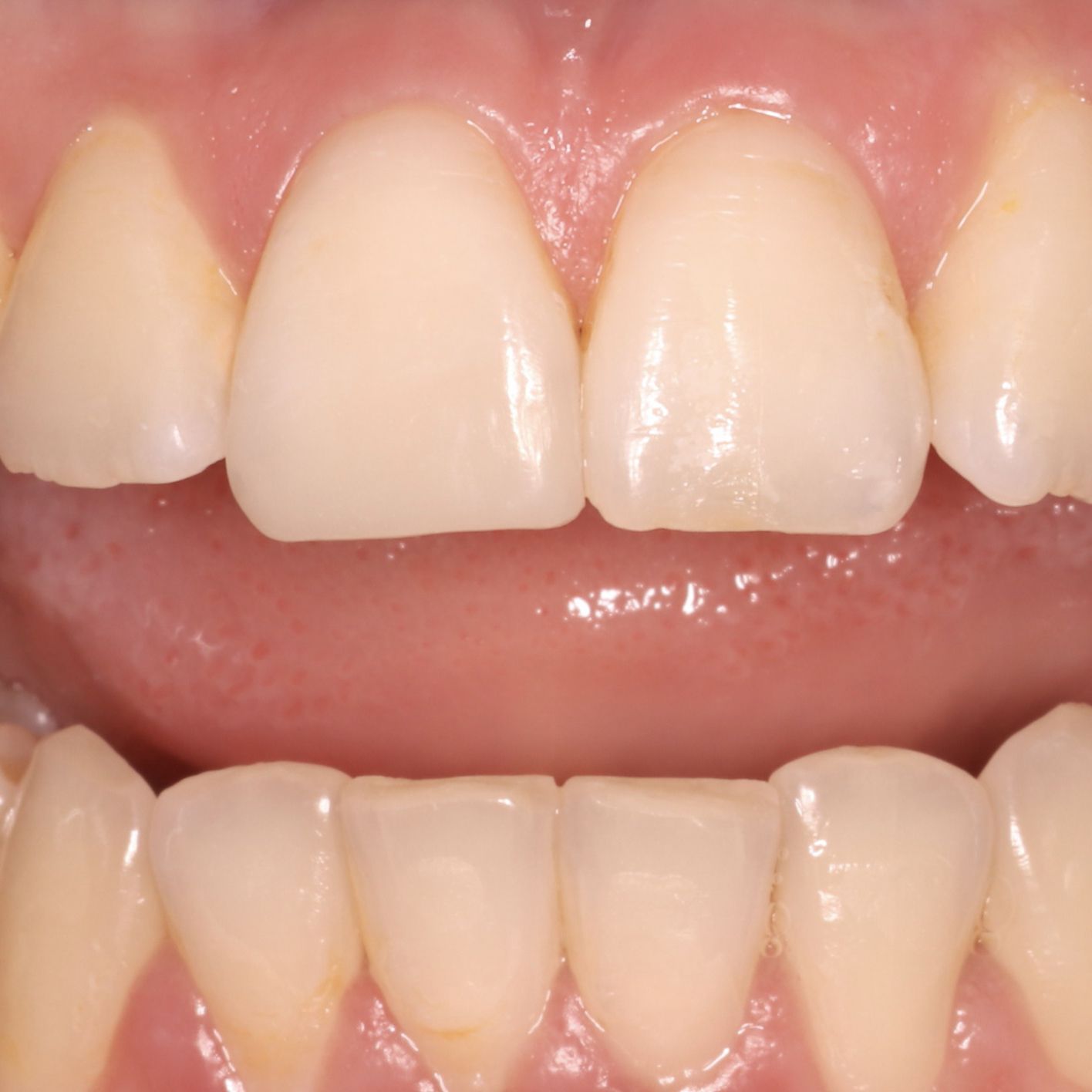
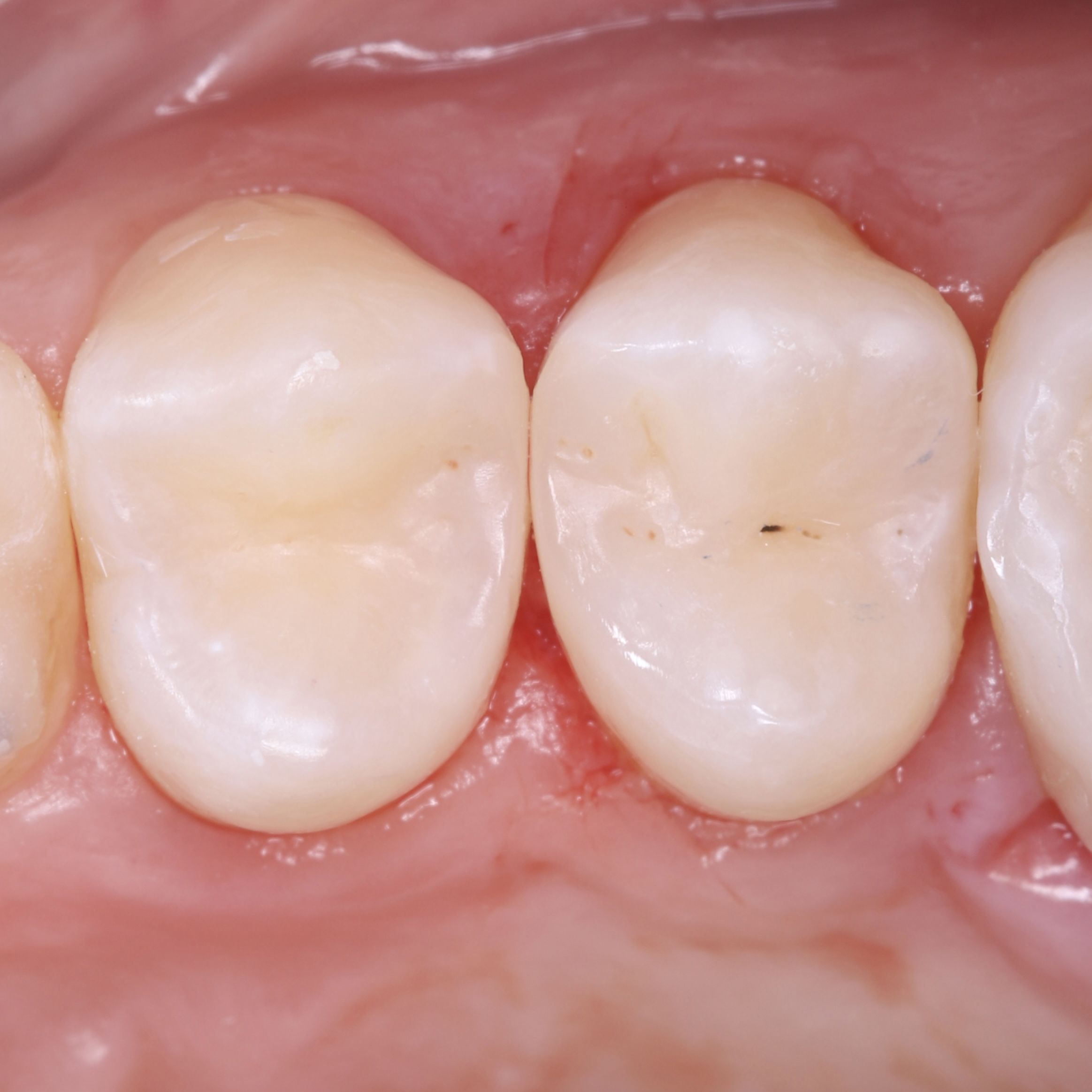
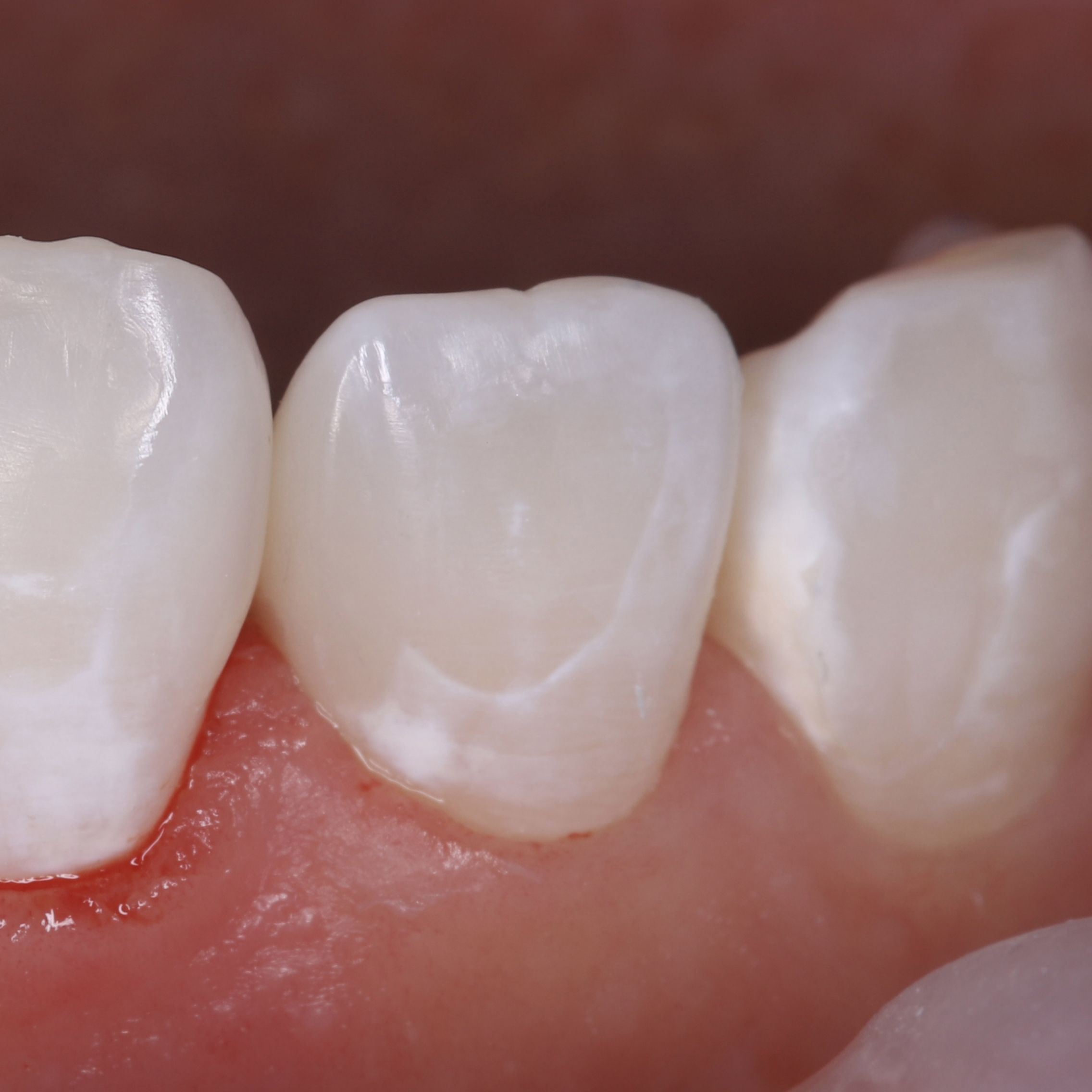
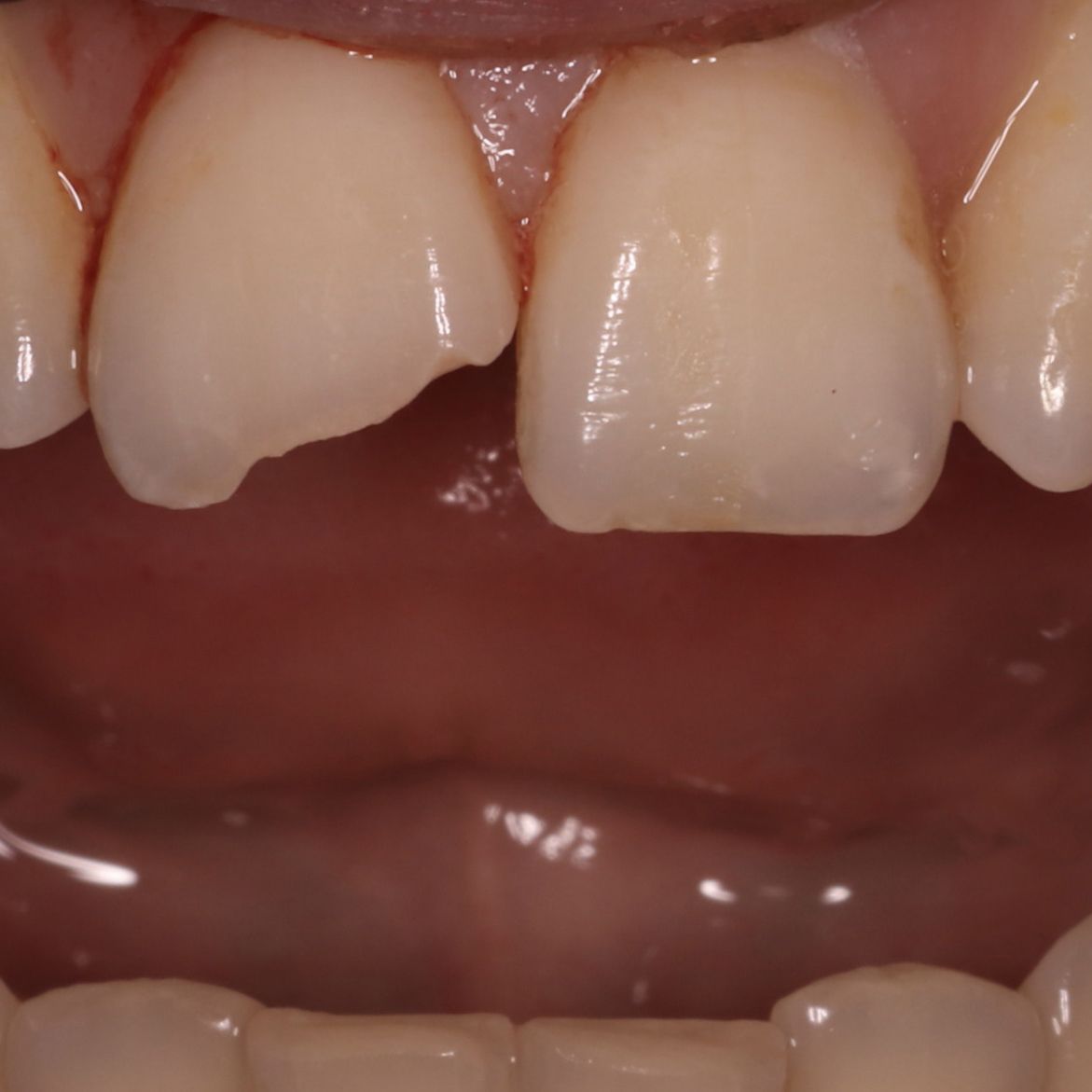
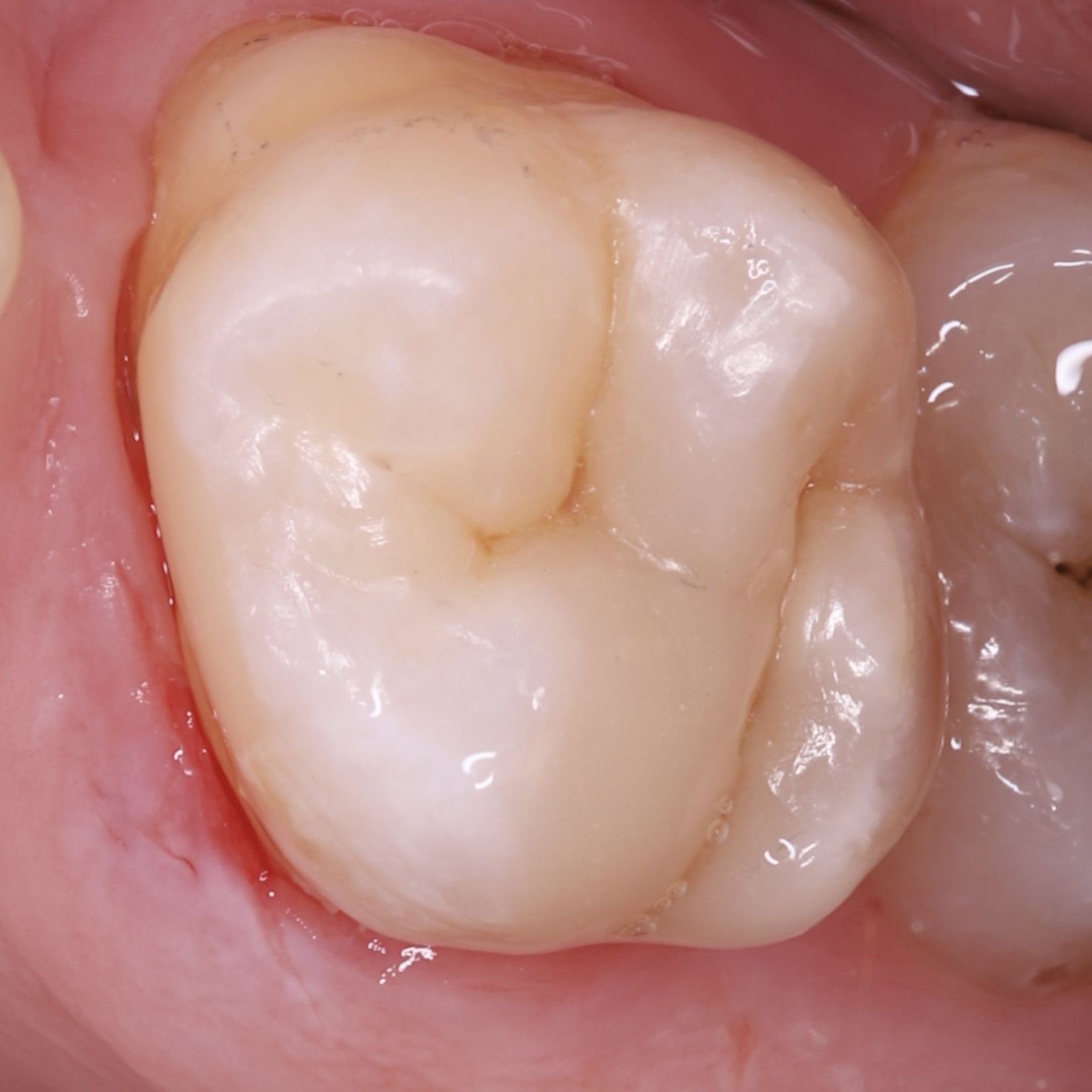
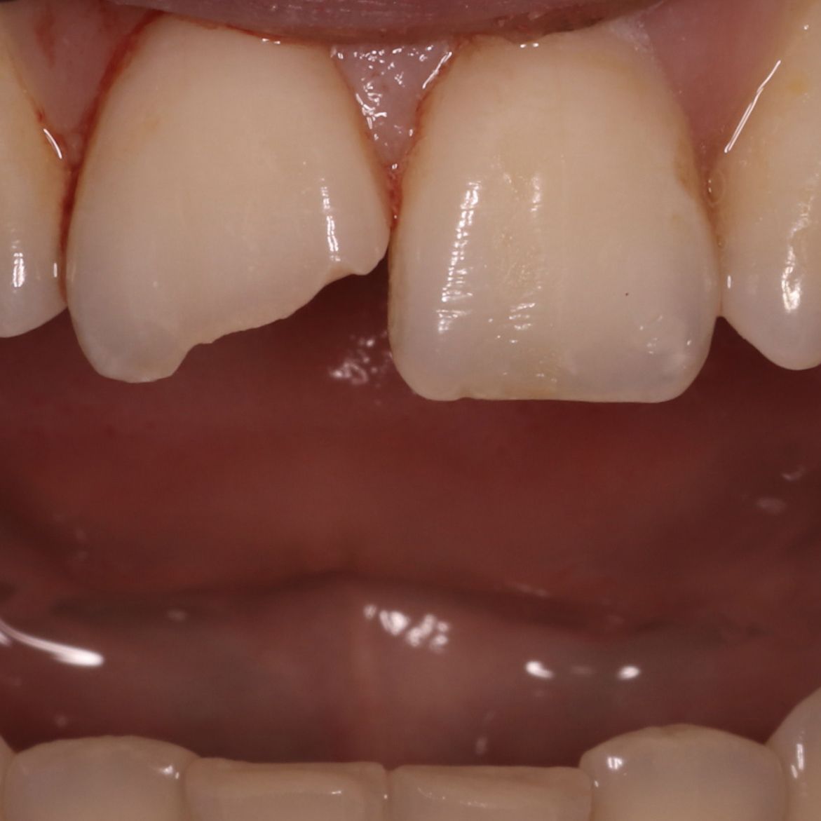
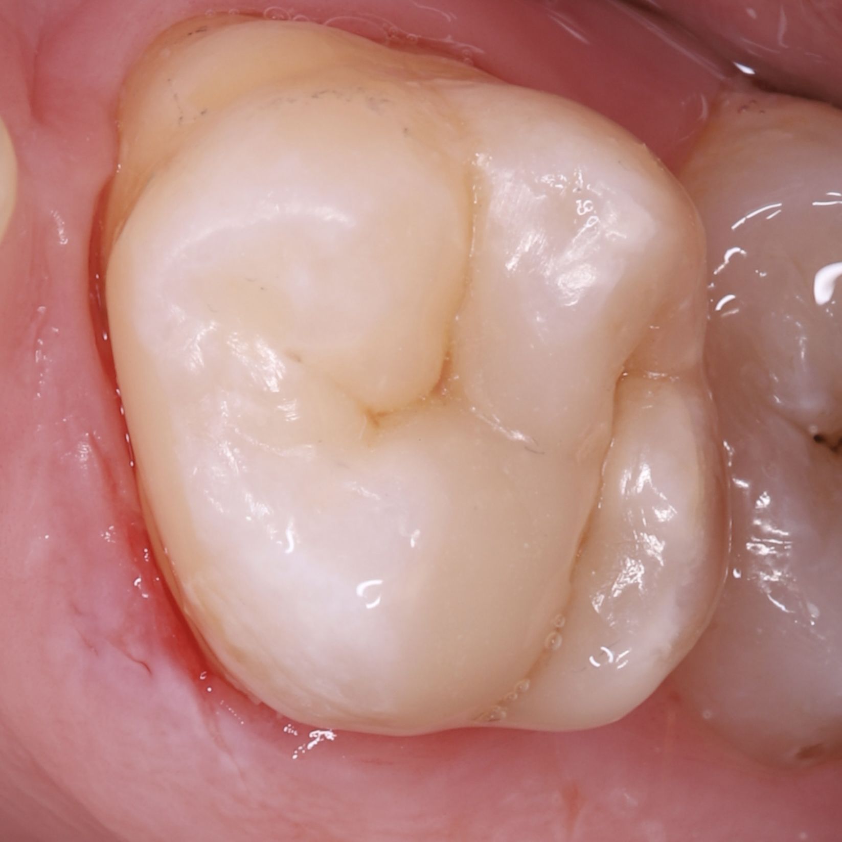
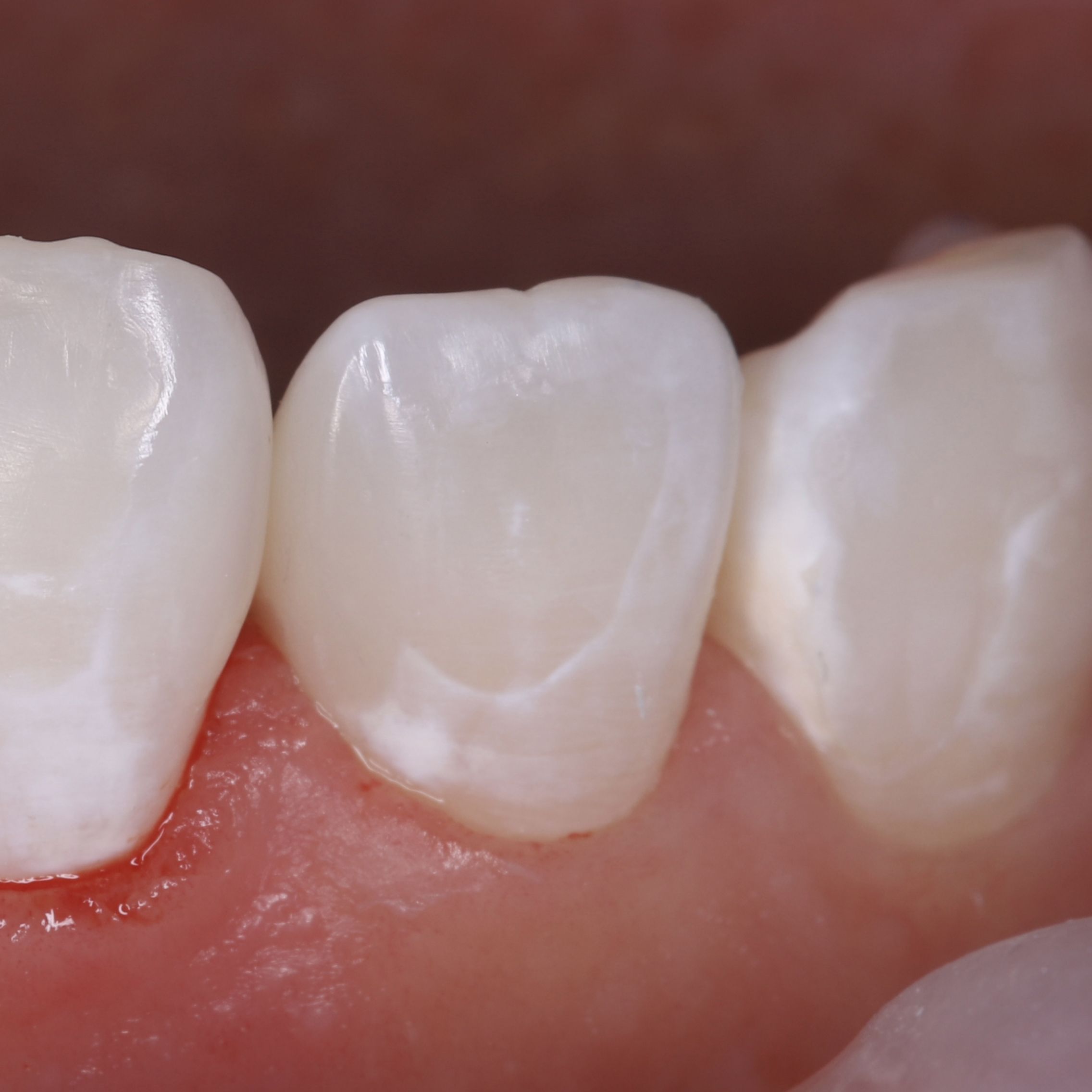
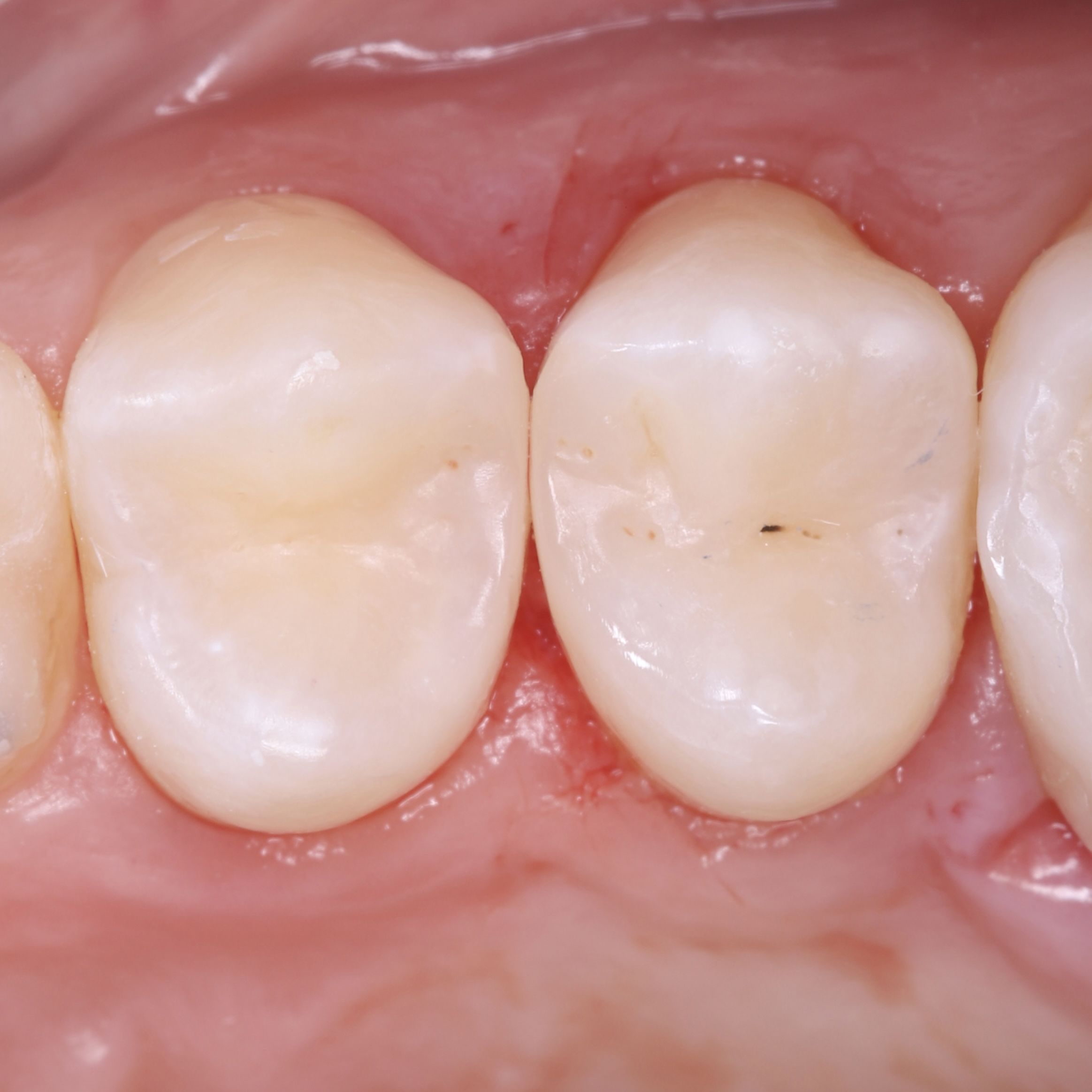
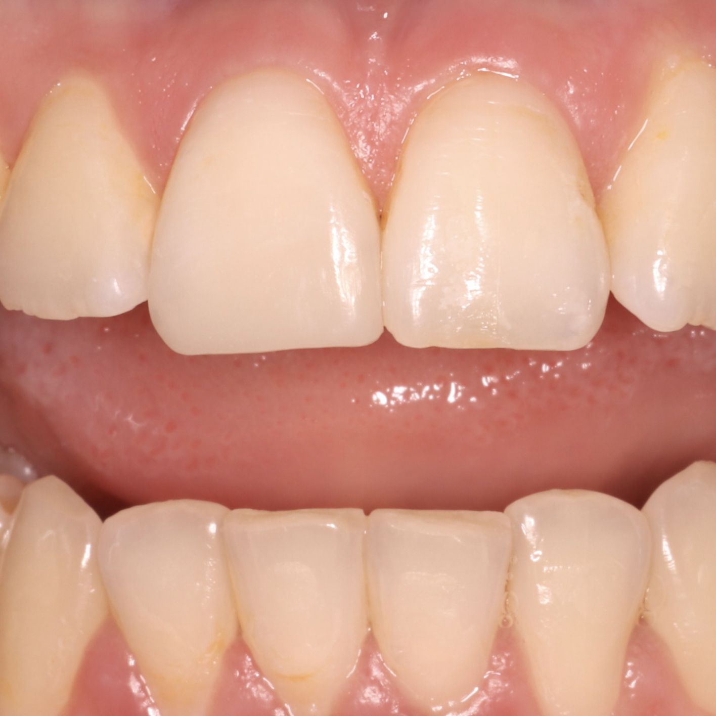
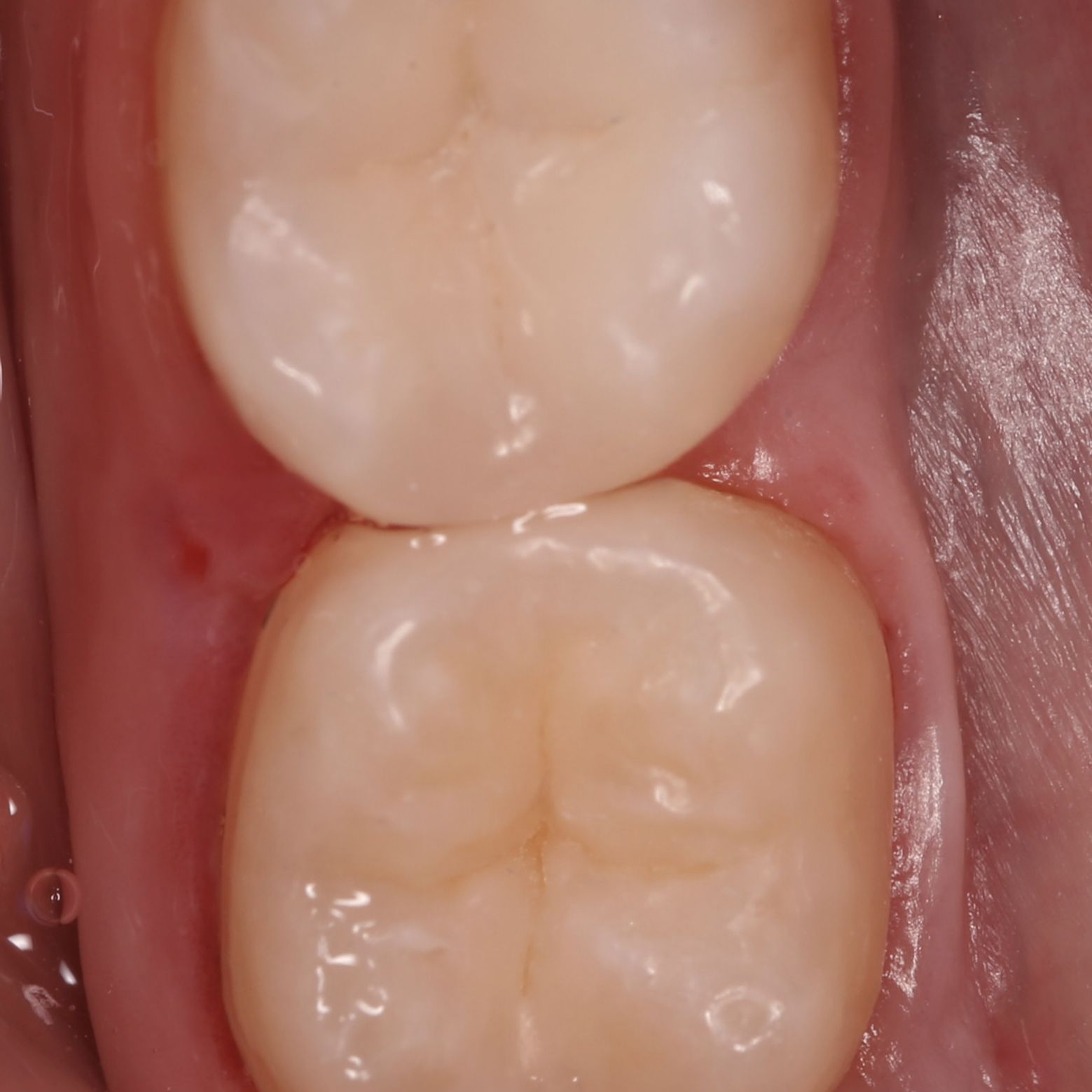
Работа с апекслокатором, визиографом, КТ- Эстетические реставрации фронтальной и жевательной группы зубов

Восстановление сильно разрушенных зубов, работа со стекловолоконными штифтами

Подготовка зубов под протезирование

Профилактическая гигиена полости рта

Хирургический приём: удаление зубов

Комплексное ведение пациентов совместно с ортопедом, хирургом, ортодонто

Высшее образование
  • 2017 год Дагестанский государственный медицинский университет,
    Махачкала

Доп. профессиональное образование
  • Успешно завершил эндопрактикум: Перелечивание корневых
    каналов Лектор: Карина Добриян
    Учебный центр Карины Добриян

  • Практический курс: прямые реставрации жевательной группы Зубов
    Лектор: Роман Карпенко
    StomWeb

  • Принял участие в двухдневном практическом курсе, по теме: “Реставрации фронтальных зубов при различных дефектах”
    Лектор: Ильдар Саркаров
    AMC

  • Принял участие в двухдневном лекционно-практическом курсе
    по эндодонтии.
    «ENDO. Повседневная практика» Лектор: Юрий Кочаров
    AMC

  • Принял участие в 3-х дневном практикуме по художественной
    реставрации в жевательном и фронтальном отделе зубов: DIRECT
    POSTERIOR & ANTERIOR КОНТАКТНЫЙ ПУНКТ
    Лектор: Иван Рузин
    AMC

  • Прошёл практический курс: Эндодонтия простыми словами
    Автор курса: Гамзалов Ибрагим
    Офис курс



Хотите задать вопрос доктору?

Если Вы хотели узнать что-то про Вашу ситуацию, пожалуйста, опишите ее, я постараюсь ответить.

Карамирзаев Вакиль
стоматолог - терапевт
Напишите нам!
Ответим на все вопросы
и запишем на консультацию.