

Кристина Алексеевна Александрова
врач-гигиенист
Профессиональные навыки:
- Консультации по вопросам ухода за зубами и деснами: подбор индивидуальных средств гигиены, обучение домашней гигиене, подбор дополнительных средств гигиены пациентам
- Фотопротокол в полном объеме
- Чтение КЛКТ, ОПТГ
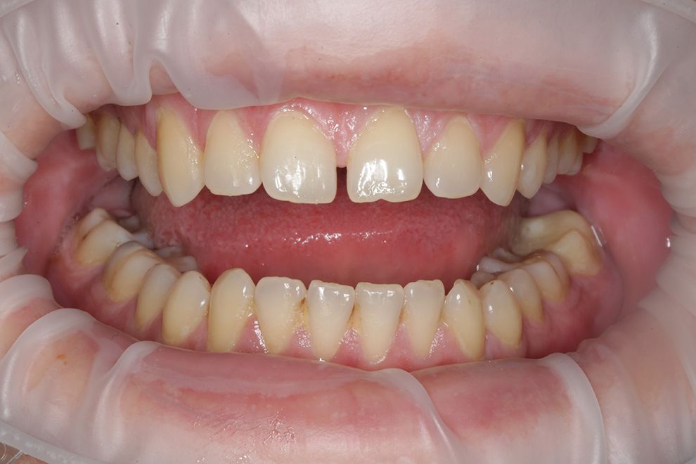
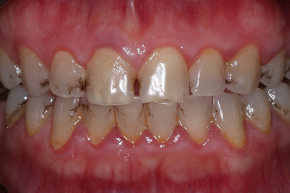
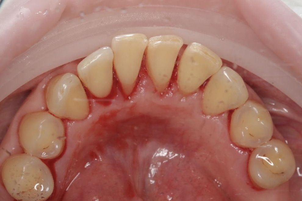
- Индикация зубных отложений
- Работа под увеличением
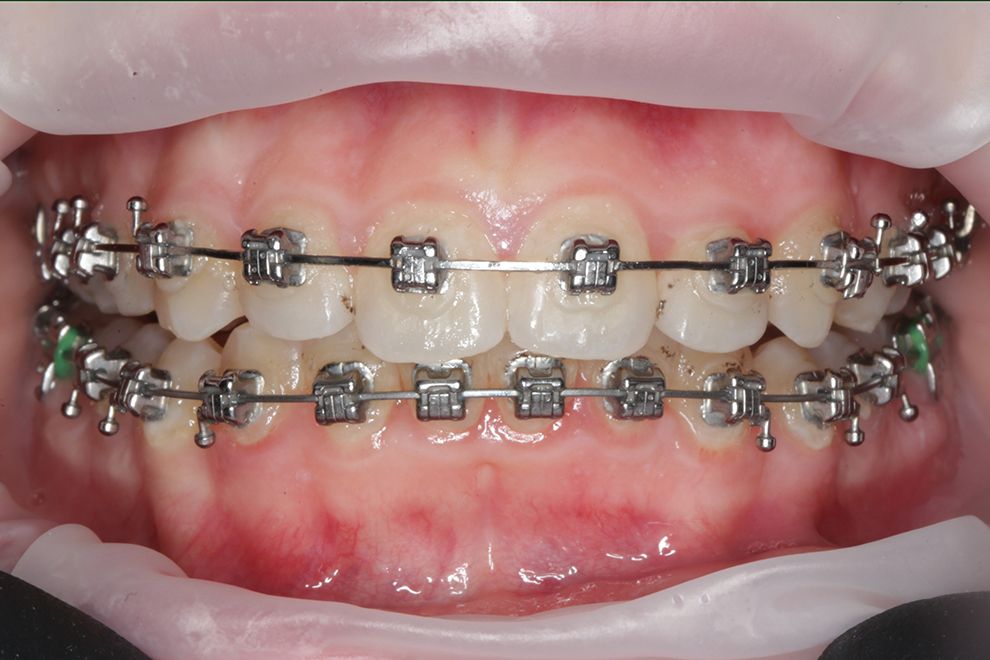
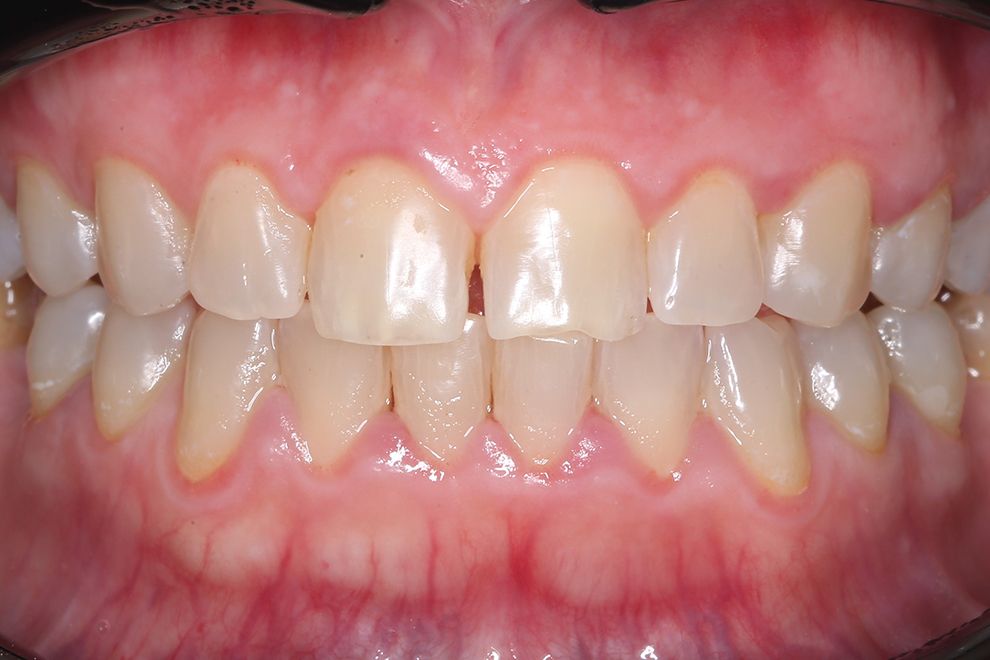
- Проведение профессиональной гигиены полости рта: снятие зубных отложений над и поддесневых УЗ аппаратом (Woodpacker), снятие пигментированного налета аппаратами Air Flow Prophylaxis Master пациентам с ортопедическими и ортодонтическими конструкциями
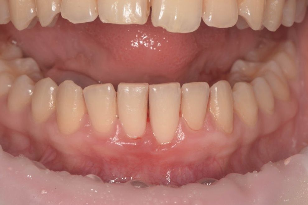
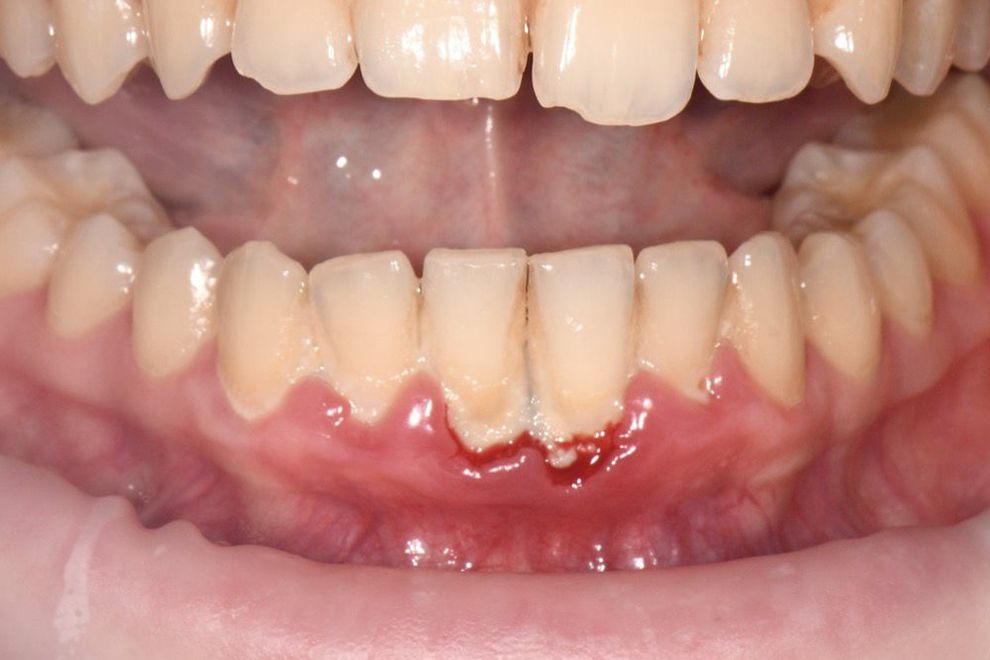
- Оценка гигиенического состояния полости рта с определением пародонтологических индексов
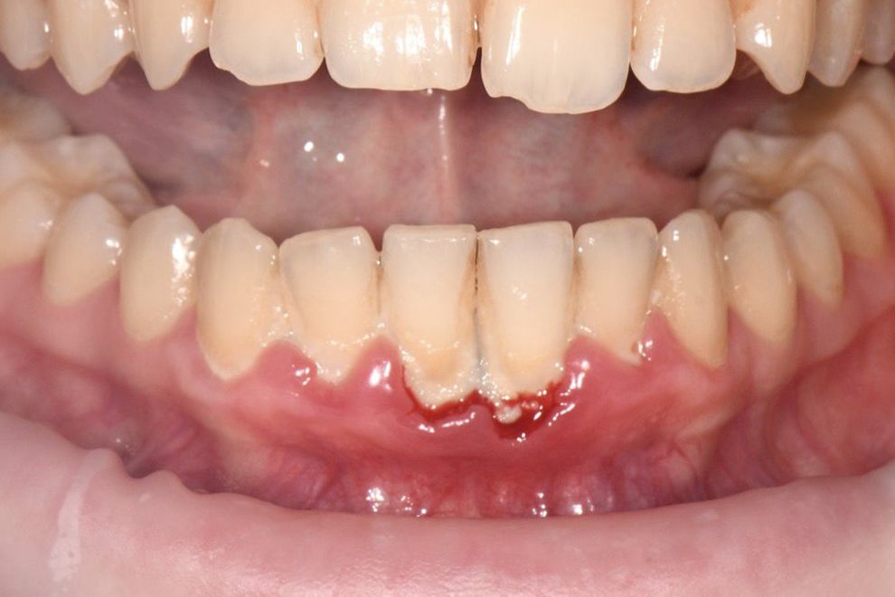
- Проведение профессиональной гигиены пациентам с отягощенным пародонтологическим статусом (GBT протокол)
- Реминерализующая терапия: лечение и профилактика гиперэстезии, профилактика кариеса
- Отбеливание зубов системами: Amazing White, Philips Zoom-4
- Работа со смежными специалистами (терапевт, ортопед, ортодонт, хирург)
- Проведение контролируемой чистки зубов с коррекцией навыков домашней гигиены
-
Московский государственный медико-стоматологический университет, Москва 2022г
Стоматология профилактическая, Гигиенист стоматологический
Сертификат/аккредитация: 2022.4180253 30.04.2025г. Стоматология профилактическая
-
Постоянный слушатель журнального клуба и участник группы “Periosimple” Марины Вишняковой
-
2022г. Участие в практическом интенсиве по алгоритмам профессиональной гигиены полости рта, Нефедова Элиза Дмитриевна
-
2022г. Практический интенсив по коммуникации с пациентом на стоматологическом приеме, Нефедов Элиза Дмитриевна
-
2023г. курс “ Работа ручными пародонтологическими инструментами Hu Friedy под микроскопом” Захарова А.И, Иноземцева К.С
-
2023г. Индивидуальный тренинг стоматологической профилактики iTOP, Захарова А.И









